Sẹo mụn là gì?
Sẹo là kết quả tự nhiên của quá trình da tự làm lành sau khi bị tổn thương. Khi da bị viêm, trầy xước hoặc tổn thương sâu, cơ thể sẽ kích hoạt cơ chế tăng sinh collagen để lấp đầy vết thương. Tuy nhiên, nếu quá trình này diễn ra không đều hoặc quá mức, sẹo sẽ hình thành.
Với sẹo mụn, tình trạng viêm nhiễm dưới da do mụn trứng cá khiến mô liên kết bị phá vỡ, dẫn đến các vết lõm hoặc sẹo lồi mất thẩm mỹ.

Quá trình hình thành sẹo mụn
Cơ chế tự lành của cơ thể diễn ra qua 4 giai đoạn chính:
-
Đông máu: cơ thể tạo cục máu đông để cầm máu.
-
Giai đoạn viêm: các tế bào miễn dịch di chuyển đến vết thương để loại bỏ vi khuẩn, làm sạch vùng da bị tổn thương.
-
Tăng trưởng: mô mới hình thành, giúp vết thương dần khép miệng.
-
Tái tạo: collagen và elastin được tái cấu trúc, hoàn thiện bề mặt da.
Với sẹo do mụn, thường bỏ qua giai đoạn đông máu vì mụn không làm rách bề mặt da, mà gây tổn thương sâu ở bên trong. Quá trình này chỉ gồm 3 giai đoạn: viêm – tăng trưởng – tái tạo.

Các loại sẹo mụn phổ biến
Dựa vào khả năng sản sinh collagen, sẹo mụn được chia làm hai nhóm chính:

1. Sẹo lõm (thiếu hụt collagen)
Là loại sẹo thường gặp nhất ở người bị mụn viêm. Bao gồm:
-
Sẹo đáy nhọn (Ice Pick): sâu và hẹp, khó điều trị bằng laser thông thường.
-
Sẹo đáy vuông (Boxcar): miệng rộng, nhìn rõ đáy sẹo.
-
Sẹo đáy tròn (Rolling): tạo bề mặt da gợn sóng, không đều.
2. Sẹo lồi và sẹo phì đại (thừa collagen)
Hình thành khi cơ thể sản sinh collagen quá mức, khiến mô sẹo trồi lên khỏi bề mặt da. Loại sẹo này thường dày, cứng và dễ tái phát.
Các phương pháp điều trị sẹo mụn phổ biến
Hiện nay, điều trị sẹo mụn được chia thành 2 nhóm chính:
-
Phương pháp xâm lấn (tác động chuyên sâu)
-
Phương pháp bôi ngoài da (hỗ trợ phục hồi)
Phương pháp xâm lấn điều trị sẹo lõm
Nguyên tắc của các phương pháp này là tạo vi tổn thương có kiểm soát để kích thích da tự tái tạo collagen và elastin mới. Một số kỹ thuật phổ biến gồm:
-
Laser Fractional CO₂: sử dụng tia laser bước sóng 10650 nm giúp tái tạo bề mặt da, cải thiện sẹo lõm, nếp nhăn và da lão hóa.
-
Lột da hóa học (Chemical Peel): dùng acid như TCA, Glycolic Acid, Salicylic Acid để loại bỏ lớp tế bào chết, kích thích da mới hình thành.
-
TCA CROSS: phương pháp đặc trị sẹo đáy nhọn, dùng TCA nồng độ cao (70–100%) tác động trực tiếp vào vùng sẹo.
-
Tiêm Filler: sử dụng Hyaluronic Acid (HA) hoặc Sculptra giúp làm đầy mô lõm và kích thích sản sinh collagen.
-
Lăn kim / microneedling: tạo các vi tổn thương nhỏ để kích hoạt cơ chế tự lành, thúc đẩy tái tạo mô mới.
-
Bóc tách đáy sẹo (Subcision): dùng kim y khoa cắt đứt các sợi xơ dưới đáy sẹo, giúp vùng da lõm được nâng lên.
Hoạt chất bôi ngoài da giúp phục hồi sẹo mụn
Sau các liệu trình xâm lấn, làn da trở nên yếu và nhạy cảm. Lúc này, việc sử dụng hoạt chất phục hồi là vô cùng quan trọng để:
-
Làm dịu da
-
Giảm viêm, đỏ
-
Thúc đẩy tái tạo collagen và elastin
-
Ngăn ngừa hình thành sẹo mới

Một số hoạt chất nổi bật gồm:
-
Vitamin B5, E: làm dịu, dưỡng ẩm và phục hồi tổn thương.
-
EGF (Yếu tố tăng trưởng biểu bì): kích thích tế bào mới phát triển.
-
bFGF (Yếu tố tăng trưởng nguyên bào sợi): thúc đẩy tổng hợp collagen và elastin.
EGF – “Chìa khóa vàng” trong phục hồi da sẹo
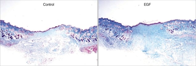
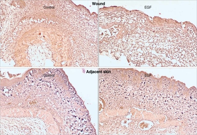
EGF (Epidermal Growth Factor) là yếu tố tăng trưởng biểu bì giúp kích thích tái tạo tế bào da, thúc đẩy biểu mô hóa nhanh, giảm viêm và hạn chế hình thành sẹo.

Nhiều nghiên cứu đã chứng minh:
-
Tốc độ lành vết thương nhanh hơn ở nhóm được điều trị bằng EGF (5,4 ngày) so với nhóm đối chứng (7,5 ngày).
-
Collagen tái tạo có cấu trúc bền vững hơn, giúp da săn chắc, phẳng mịn.
-
Mức độ viêm giảm rõ rệt, hạn chế sẹo thâm và sẹo lõm hình thành.
Nhờ cơ chế này, EGF được xem là “thành phần vàng” trong phục hồi da sau xâm lấn và điều trị sẹo mụn.


Giải pháp phục hồi da sẹo an toàn từ Hyaestic
Nếu bạn đang tìm kiếm một sản phẩm chăm sóc – phục hồi sẹo an toàn, hãy thử Hyaestic Scar Recovery & Barrier Strengthen Cream – dòng kem chuyên biệt cho làn da sẹo và sau điều trị xâm lấn.

Công dụng 2 trong 1:
-
Phục hồi và làm phẳng vùng da sẹo
-
Tái tạo, củng cố hàng rào bảo vệ da

Thành phần nổi bật:
-
EGF, bFGF, IGF-1, TGF-β1: thúc đẩy sản sinh collagen, tái tạo mô, làm đầy sẹo lõm.
-
Phức hợp tế bào gốc và peptide cao cấp: giúp làm dịu, giảm viêm, cải thiện độ đàn hồi.
-
Gel Silicone tự khô: được khuyến nghị là lựa chọn đầu tay trong điều trị và ngăn ngừa sẹo, giúp:
-
Giữ ẩm, cân bằng sản xuất collagen
-
Ngăn vi khuẩn xâm nhập
-
Giảm nguy cơ hình thành sẹo dày hoặc sẹo lồi
-
Tham khảo sản phẩm trị sẹo Hyaestic tại đường dẫn dưới đây:
Sẹo mụn là hậu quả của quá trình viêm nhiễm và tổn thương sâu dưới da, nhưng hoàn toàn có thể cải thiện nếu được chăm sóc và điều trị đúng cách.
Bên cạnh các phương pháp chuyên sâu tại clinic, bạn có thể kết hợp kem phục hồi sẹo chứa EGF và peptide như Hyaestic Scar Recovery & Barrier Strengthen Cream để rút ngắn thời gian tái tạo, phục hồi cấu trúc da và lấy lại làn da mịn màng, khỏe mạnh.



Bài viết liên quan
Hyaestic Giải Pháp Phục Hồi Da Sau Laser
Điều trị da bằng laser là một trong những phương pháp thẩm mỹ công nghệ [...]
Th12
Giải Đáp 7 Câu Hỏi Thường Gặp Về Phục Hồi & Làm Sáng Da
Hiểu đúng – Làm đúng để da sáng khỏe bền vững Phục hồi và làm [...]
Th12
ELASTIN – CHÌA KHÓA DUY TRÌ LÀN DA SĂN CHẮC & ĐÀN HỒI CỦA NHÀ HYAESTIC
Elastin là gì? Vai trò của elastin trong cấu trúc da Elastin là một protein [...]
Th12
Phân Loại Nám Và Mức Độ Đáp Ứng Với Peel Da Decaar
Trong điều trị nám, peel da trị nám thường được xem là giải pháp cải [...]
Th12